Lompat ke konten Lompat ke sidebar Lompat ke footer

Pineal Gland Cyst Treatment

A Showing The Pineal Gland Cyst And Its Relationship To The Download Scientific Diagram

A Showing The Pineal Gland Cyst And Its Relationship To The Download Scientific Diagram

Pineal gland cyst treatment. Very few pineal cysts require surgery. A neuro-ophthalmologist can be very helpful in defining vision and eye movement problems and can determine if these problems are related to the cyst. Other cases may require radiation or surgery.

Treatment pineal cysts Medicines. Doctors hypothesize that since women are more frequently affected by pineal cysts. Some tumors are sensitive on radiationOutcome of the surgery depends on size and type of tumor.

Surgical removal is the most common treatment for pineal cyst. Treatment of cystic formation always depends on the nature of the disease and the causes of its occurrence. At the moment no single tactics for treating patients with a diagnosed pineal cyst in the absence of.

Most patients who need surgery have a cyst larger than 2 cm. In most cases no treatment is necessary for a pineal gland cyst 91. That means when the patient has symptoms associated with the presence of pineal gland changes in size or when he has a malignant tumor.

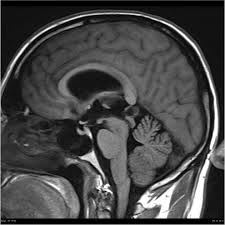
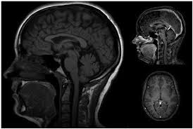
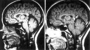
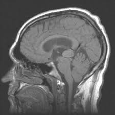
The diagnosis of pineal cyst is usually established by MRI with defined radiological criteria to distinguish benign pineal cyst from tumors of this area. A pineal cyst is usually only treated if it causes symptoms. In order to detect the presence of a cystic mass in the head magnetic resonance imaging is required.

Hormonal changes play a significant role in how they form. The main role in the pineal gland cysts treatment performs surgery. There is no prescribed treatment for large pineal cyst or pineal gland cyst that does not result to any symptoms also known as asymptomatic.

Surgical interventions have been used to remove the cyst and resolve symptoms37 These approaches include both. Very few require surgery however.

Pineal Cysts Musc Health Charleston Sc

Pineal Cysts Musc Health Charleston Sc

Pineal Cyst Or Pineal Gland Cyst Treatment Recovery Period Prognosis Complications

Pineal Cyst Or Pineal Gland Cyst Treatment Recovery Period Prognosis Complications

Can Pineal Cysts Cause Anxiety Anxiety Stress Depression Nutritional Support Anxiety Faq

Can Pineal Cysts Cause Anxiety Anxiety Stress Depression Nutritional Support Anxiety Faq

9 Pineal Cyst Ideas Cysts Pineal Gland Gland

9 Pineal Cyst Ideas Cysts Pineal Gland Gland

Advanced Treatment Of Pineal Cyst Pineoblastoma And Pineocytoma Youtube

Advanced Treatment Of Pineal Cyst Pineoblastoma And Pineocytoma Youtube

Pineal Cysts Brain Tumors Memorial Hermann

Pineal Cysts Brain Tumors Memorial Hermann

High Prevalence Of Pineal Cysts In Healthy Adults Demonstrated By High Resolution Noncontrast Brain Mr Imaging American Journal Of Neuroradiology

High Prevalence Of Pineal Cysts In Healthy Adults Demonstrated By High Resolution Noncontrast Brain Mr Imaging American Journal Of Neuroradiology

My Journey With A Pineal Cystic Brain Tumor Pineal Gland Brain Tumor Cysts

My Journey With A Pineal Cystic Brain Tumor Pineal Gland Brain Tumor Cysts

Pineal Cysts Debilitating Pain Youtube

Pineal Cysts Debilitating Pain Youtube

Pineal Cyst Or Pineal Gland Cyst Prevention Social Security Disability Coping

Pineal Cyst Or Pineal Gland Cyst Prevention Social Security Disability Coping

Natural Course Of Pineal Cysts A Radiographic Study Chinese Neurosurgical Journal Full Text

Natural Course Of Pineal Cysts A Radiographic Study Chinese Neurosurgical Journal Full Text

Pineal Cysts In Childhood Springerlink

Pineal Cysts In Childhood Springerlink

Pineal Region Tumor Treatment Pacific Brain Tumor Center

Pineal Region Tumor Treatment Pacific Brain Tumor Center

Pineal Region Tumours Type Of Brain Tumour In The Pineal Gland Macmillan Cancer Support

Pineal Region Tumours Type Of Brain Tumour In The Pineal Gland Macmillan Cancer Support

Pineal Cyst Radiology Reference Article Radiopaedia Org

Pineal Cyst Radiology Reference Article Radiopaedia Org

Life Saving Pineal Cyst Surgery For Pregnant Queensland Woman Out Of Reach At 85k

Life Saving Pineal Cyst Surgery For Pregnant Queensland Woman Out Of Reach At 85k

Pineal Gland Apoplexy Mimicking As Migraine Like Headache Bmj Case Reports

Pineal Gland Apoplexy Mimicking As Migraine Like Headache Bmj Case Reports

Jennah Maurovic With Cyst On Her Brain Begs For Help From Doctors Express Digest

Jennah Maurovic With Cyst On Her Brain Begs For Help From Doctors Express Digest

Pineal Gland Cyst Wikipedia

Pineal Gland Cyst Wikipedia

Neuroimaging In Emergency A Review Of Possible Role Of Pineal Gland Disease Bruno Gland Surgery

Neuroimaging In Emergency A Review Of Possible Role Of Pineal Gland Disease Bruno Gland Surgery

Pineal Cysts In Children Cystic Pineal Tumor Abram Mayhem

Pineal Cysts In Children Cystic Pineal Tumor Abram Mayhem

Evaluation Of Pineal Cysts With Magnetic Resonance Imaging

Evaluation Of Pineal Cysts With Magnetic Resonance Imaging

Symptomatic Glial Cysts Of The Pineal Gland In Journal Of Neurosurgery Volume 80 Issue 3 1994

Symptomatic Glial Cysts Of The Pineal Gland In Journal Of Neurosurgery Volume 80 Issue 3 1994

3

3

Cancers Free Full Text Pineal Gland Tumors A Review Html

Cancers Free Full Text Pineal Gland Tumors A Review Html

Pineal Region Tumors Weill Cornell Brain And Spine Center

Pineal Region Tumors Weill Cornell Brain And Spine Center

Evaluation Of Pineal Cysts With Magnetic Resonance Imaging

Evaluation Of Pineal Cysts With Magnetic Resonance Imaging

Pineal Cyst Radiology Reference Article Radiopaedia Org

Pineal Cyst Radiology Reference Article Radiopaedia Org

Brain Magnetic Resonance Imaging Mri Of A 40 Year Old Patient Showing Download Scientific Diagram

Brain Magnetic Resonance Imaging Mri Of A 40 Year Old Patient Showing Download Scientific Diagram

Is My Headache Coming From My Soul

Is My Headache Coming From My Soul

The Microsurgical Management Of Benign Pineal Cysts Helsinki Experience In 60 Cases Surgical Neurology International

The Microsurgical Management Of Benign Pineal Cysts Helsinki Experience In 60 Cases Surgical Neurology International

Pineal Region Tumor Infratentorial Supracerebellar Approach The Neurosurgical Atlas

Pineal Region Tumor Infratentorial Supracerebellar Approach The Neurosurgical Atlas

Pineal Region Tumor Infratentorial Supracerebellar Approach The Neurosurgical Atlas

Pineal Region Tumor Infratentorial Supracerebellar Approach The Neurosurgical Atlas

Should I Be Worried About A Pineal Cyst

Should I Be Worried About A Pineal Cyst

Pineal Cyst Resection In The Absence Of Ventriculomegaly Or Parinaud S Syndrome Clinical Outcomes And Implications For Patient Selection In Journal Of Neurosurgery Volume 123 Issue 2 2015

Pineal Cyst Resection In The Absence Of Ventriculomegaly Or Parinaud S Syndrome Clinical Outcomes And Implications For Patient Selection In Journal Of Neurosurgery Volume 123 Issue 2 2015

Pre Operation Stories Pineal Cyst Awareness Cysts Constant Headaches Severe Migraine

Pre Operation Stories Pineal Cyst Awareness Cysts Constant Headaches Severe Migraine

Pineal Region Tumor Treatment Cost In India Pineal Region Tumor Treatment Medsurgeindia

Pineal Region Tumor Treatment Cost In India Pineal Region Tumor Treatment Medsurgeindia

Pineal Cyst Obstructing Aqueduct Radiology Case Radiopaedia Org

Pineal Cyst Obstructing Aqueduct Radiology Case Radiopaedia Org

Pdf Is Surgery For Pineal Cysts Safe And Effective Short Review

Pdf Is Surgery For Pineal Cysts Safe And Effective Short Review

Pineal Region Tumors Diagnosis And Treatment National Cancer Institute

Pineal Region Tumors Diagnosis And Treatment National Cancer Institute

Pineal Cyst Resection In The Absence Of Ventriculomegaly Or Parinaud S Syndrome Clinical Outcomes And Implications For Patient Selection In Journal Of Neurosurgery Volume 123 Issue 2 2015

Pineal Cyst Resection In The Absence Of Ventriculomegaly Or Parinaud S Syndrome Clinical Outcomes And Implications For Patient Selection In Journal Of Neurosurgery Volume 123 Issue 2 2015

B C Man Sells Everything To Pay For Brain Surgery In U S After Being Denied In Canada Cbc News

B C Man Sells Everything To Pay For Brain Surgery In U S After Being Denied In Canada Cbc News

Approach To Pineal Tumor

Approach To Pineal Tumor

Pineal Gland Tumours And Cysts Australia And New Zealand Posts Facebook

Pineal Gland Tumours And Cysts Australia And New Zealand Posts Facebook

Frontiers Pineal Gland Volume In Major Depressive And Bipolar Disorders Psychiatry

Frontiers Pineal Gland Volume In Major Depressive And Bipolar Disorders Psychiatry

Pineal Region Tumor Treatment Pacific Brain Tumor Center

Pineal Region Tumor Treatment Pacific Brain Tumor Center

Pineal Cyst In A 6 Year Old Girl Causing Diplopia Headache And Download Scientific Diagram

Pineal Cyst In A 6 Year Old Girl Causing Diplopia Headache And Download Scientific Diagram

The Microsurgical Management Of Benign Pineal Cysts Helsinki Experience In 60 Cases Surgical Neurology International

The Microsurgical Management Of Benign Pineal Cysts Helsinki Experience In 60 Cases Surgical Neurology International

1

1

In medical practice cases where the cyst of the pineal gland is detected randomly are more common.

Surgical removal is the most common treatment for pineal cyst. Pineal cysts tend to be more common in. The diagnosis of pineal cyst is usually established by MRI with defined radiological criteria to distinguish benign pineal cyst from tumors of this area. Surgical interventions have been used to remove the cyst and resolve symptoms37 These approaches include both. Some tumors are sensitive on radiationOutcome of the surgery depends on size and type of tumor. A neuro-ophthalmologist can be very helpful in defining vision and eye movement problems and can determine if these problems are related to the cyst. If symptoms are present your healthcare provider may recommend these treatments. Since your headaches might not be due to the pineal gland cyst discuss with your doctor other possible causes for your headaches. Pineal Cysts are fluid structures that form on the pineal gland and are treated when they are large greater than 2cm and cause symptoms such as debilitating headaches or eye movement problems.


Treatment pineal cysts Medicines. Often another MRI with steady state needs to be done to see if there is tectal compression a sign of local pressure. Treatment of cystic formation always depends on the nature of the disease and the causes of its occurrence. Doctors hypothesize that since women are more frequently affected by pineal cysts. If symptoms are present your healthcare provider may recommend these treatments. Have all been employed to detect pineal gland cysts56 Management of pineal gland cysts remains controversial due to the large proportion of asymptomatic cysts and the lack of current clinical practice guidelines. Treatment pineal cysts Medicines.

Posting Komentar untuk "Pineal Gland Cyst Treatment"